PRAVEEN’S ANATOMY WORLD
Home
Atlas
Osteology
Bones of Upper Limb
Bones of Lower Limb
Bones of Thorax
Bones of Abdomen
Bones of Head and Neck
Joints
Gross Anatomy
General Anatomy
Upper Limb
Lower Limb
Thorax
Abdomen
Head and Neck
Brain/ Neuroanatomy
Histology
Microscope
Cell
Epithelium
Connective Tissue
Muscle
Bone
Lymphoid Organs
Nervous System
Blood Vessels
GIT
Urogenital System
Male Genital System
Female Genital System
Skin
Mammary Gland
Embryology
Radiology
Sectional Anatomy
Histological Technique
Embalming
PPTs
Osteology
Bones of Upper Limb
Bones of Lower Limb
Bones of Thorax
Bones of Abdomen
Bones of Head and Neck
Joints
Gross Anatomy
General Anatomy
Upper Limb
Lower Limb
Thorax
Abdomen
Head and Neck
Brain/ Neuroanatomy
Histology
Cell
Epithelium
Connective Tissue
Muscle
Bone
Lymphoid Organs
Nervous System
Blood Vessels
GIT
Urogenital System
Male Genital System
Female Genital System
Skin
Mammary Gland
Embryology
Radiology
Histological Technique
Embalming
Body Donation
Videos
Osteology
Gross Anatomy
Histology
Embryology
Radiology
Histological Technique
Embalming
Body Donation
QUESTION BANK
MCQs
Gross Anatomy
General Anatomy
Upper Limb
Lower Limb
Thorax
Abdomen
Head and Neck
Brain/ Neuroanatomy
Histology
Microscope
Cell
Epithelium
Connective Tissue
Muscle
Bone
Lymphoid Organs
Nervous System
Blood Vessels
GIT
Urogenital System
Male Genital System
Female Genital System
Skin
Mammary Gland
All MCQs Category
QUIZZES
Others
NEWS
PG Corner
Contact
Blog Single
Home
Blog Single
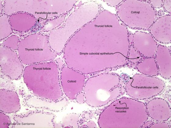
Cuboidal Cell -Thyroid
Cuboid shaped Cell with Central Round Nucleus-PKK
Download